医院简介
">
昆明骨科医院现有医护人员270余人,医院以人才兴院,拥有一批骨科、疼痛科、康复科、内科等学…「查看详情」
就医指南

医院地址:昆明市西山区十里长街希望路(北)佳湖花园公交站点斜对面
健康热线:0871—67333349
监督热线:0871-67333349(工作日)
网站首页 » 科室介绍
小儿麻痹后遗症可以通过按摩进行治疗,因为按摩治疗可以起到通经活血,荣筋养肌的效果,有利于病人病情的减轻。…「查看详情」
昆明骨科医院 阅读1730次 2018-01-19 14:13:57
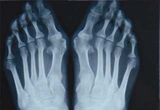
拇指外翻作为一种疾病,虽然早期除了外观不美丽、选鞋困难及容易损坏鞋形,还没有给人们带来太多的不适症状。但是随着年龄增长,拇外翻畸形程度的加重,会产生很多严重的并发症,如拇…「查看详情」
昆明骨科医院 阅读1264次 2018-01-19 14:10:29
小儿麻痹症糖丸有三种。这是根据脊髓灰质炎病毒分三型做成的,分别以三种颜色来代表不同的型别:红色代表Ⅰ型,黄色代表Ⅱ型,绿色代表Ⅲ型。服用三种不同的糖丸,目的就是为了彻底预…「查看详情」
昆明骨科医院 阅读1787次 2018-01-19 14:01:03
大脚骨病怎么治疗对患者更好?大脚骨的出现不仅会给我们的身体造成伤害,同时还会给患者日常生活带来极大的不便和影响,生活中还会受到其他人的歧视,给患者的生理和心理上造成很大的…「查看详情」
昆明骨科医院 阅读846次 2018-01-19 13:57:30
小人麻痹可以通过疫苗注射进行有效的预防,但有些情况不可避免的会产生小儿麻麻后遗症,小儿麻痹后遗症比小儿麻痹本身更可怕,危害更大,通常会导致病人患严重的畸形瘫痪。因此,预防…「查看详情」
昆明骨科医院 阅读1523次 2018-01-19 13:55:15
怎样治疗拇指外翻?拇指外翻不仅脚形难看,穿鞋变形,还可能会伴有拇囊炎,疼痛,并发脚垫、鸡眼、爪形趾等脚趾畸形。所以,大脚骨一旦形成,需及时进行有效治疗。怎样治疗拇外翻成为…「查看详情」
昆明骨科医院 阅读814次 2018-01-19 12:00:00
小儿麻痹症传统中医怎么治?昆明骨科的专家介绍说小儿麻痹症就是脊髓灰质炎,是种急性传染病,因为病毒侵入到血液循环系统造成,部分病毒可破坏神经系统。…「查看详情」
昆明骨科医院 阅读1817次 2018-01-19 11:57:26
脊髓灰质炎患儿,体温恢复正常后的48小时开始,持续两年的时间里皆为肌体恢复期。恢复时期长,对护理工作的要求也就有了特别的要求。…「查看详情」
昆明骨科医院 阅读1355次 2018-01-19 11:46:07