拇指外翻作为一种疾病,虽然早期除了外观不美丽、选鞋困难及容易损坏鞋形,还没有给人们带来太多的不适症状。但是随着年龄增长,拇外翻畸形程度的加重,会产生很多严重的并发症,如拇囊炎肿、爪形趾、鸡眼、脚垫等;这些并发症的发生不仅影响足部功能,而且会产生疼痛,严重影响生活和工作。所以,建议当发现有拇外翻畸形时,好及早防治,这样,不仅能够延缓拇外翻恶化的程度,并且可以有效地预防一些并发症的发生。>>>点击了解拇外翻的病因,以了解更多的预防方法

拇外翻治疗方法从病情看,主要分为两大类
拇外翻轻度症状治疗
1、选择一双合适的鞋子,如鞋跟不要太高、鞋头要宽松一些,使足趾在里面有一定的活动空间,使其感受不到任何压力,尤其不能穿尖而瘦的高跟鞋。>>>哪些情况出现是拇指外翻?点击了解
2、做赤足运动,加强足底肌肉力量,延缓拇外翻恶化程度。
3、每日用手指将拇趾向内侧掰动,也可以有效的防止拇外翻加剧。>>>点击了解拇外翻对身体会有哪些危害?

拇外翻中重度症状治疗
1、矫形器械,如拇外翻矫形器(分日用、夜用矫形器)长期配戴拇外翻矫形器,对拇外翻有一定的治疗作用。
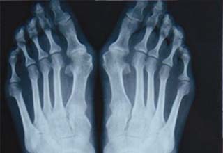
2、拇外翻微创矫形术,手术前通过X片有效确定截骨位置和角度,创面只需3-5mm微孔,完成截骨矫形,骨凸去平、手法复位。外翻、内翻同时矫正。由于跖骨的内稳定作用,术后即可简易行走,2周后鼓励活动,一个月临床愈合,恢复活动。>>>生活中有哪些方法能有效预防拇外翻的发生?点击了解
通过微创手术的方法矫正畸形疗效确切,术后不仅可以自由选择想穿的鞋子,并且可以恢复正常的工作。
温馨提示:得了拇外翻一定要及时到正规的骨科医院进行治疗以免治疗不当,造成严重后果。在生活中要提前做好预防工作,如果预防不当引起拇指外翻了,要及时的到医院诊断治疗。如果您还有什么疑问,可以点击咨询在线专家,或者直接拨打医院健康热线:0871-67333349进行咨询。